contour.contouring.facialContouring
contour.reoperation.reoperation
볼처짐
contour.treatment.treatment
안면윤곽
윤곽재수술
윤곽리프팅
윤곽붓기케어
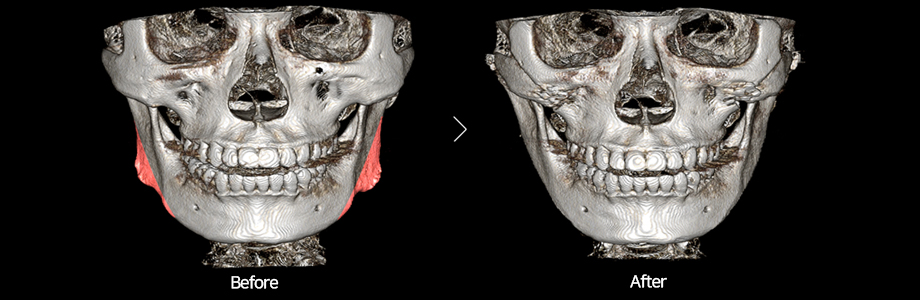
CT 전후사진
긴곡선 사각턱 절제, 광대 축소
현대미학성형외과의원
19-04-09
댓글
댓글을 작성하려면
로그인
하세요.
다음글
긴곡선 사각턱 절제
이전글
긴 곡선 절제술
목록 보기
댓글